【扩散】牙齿改斜归正,自信由“齿”而生!
发布时间:2021-01-26
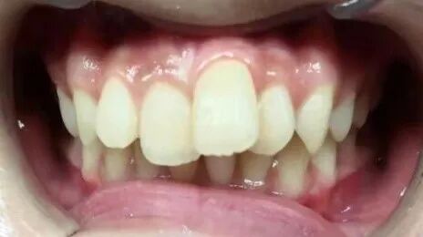
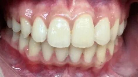
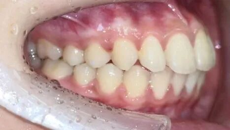
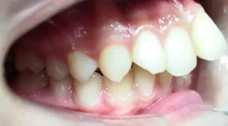
口腔科主任李丽沙为兰兰制定固定矫治治疗计划:
01
排齐整平牙列
02
改善覆合覆盖
03
调整
04
保持
错牙合畸形
一提到牙齿的错牙合畸形,我们大家首先想到的都是“不齐”、“不好看”等等与外貌有缘的问题。而错牙合畸形只是影响我们的外貌这么简单么?口腔正畸医师的心中其实一直都在呐喊“拜托,也请大家也注重一下内在好么!”错牙合畸形的危害远远超出了大部分患者的想象。
一
■ 影响牙合颌面的发育
解读:意思就是,小时候的错牙合畸形会通过骨的发育影响长大后的面容。如果孩子小的时候是一个“小地包天”,这种牙齿间的关系会持续影响颌骨的发育,长大之后就会变成一个“大地包天”。
二
■ 影响口腔健康
解读:其实就算是排列较整齐的牙齿,也不是人人都能刷到位的,更何况东躲西藏的牙齿呢~拥挤错位的牙齿不仅毫无美感,还会使刷牙难度瞬间上升好几个档次!
三
■ 影响口腔功能
解读:严重的错牙合畸形会直接影响说话、吃饭这两项日常生活中非常重要、且非常有乐趣的口腔功能,这点对于话唠和吃货两类人来说,尤其重要;况且更严重者还会影响到呼吸功能。
四
■ 影响颞下颌关节
解读:牙与牙之间的关系发生错误,会导致颞下颌关节中的髁突不知所措,找不到自己正确的位置,从而引起关节的疾病。
五
■ 影响容貌外观
供稿:口腔科 丁莉枫
编辑:刘亚宁

