【科室动态】屡被误诊的骶尾部肿物,终于在我院肛肠科得到根治
发布时间:2020-08-07
一例因骶尾部肿痛流脓就医的多囊性骶前囊肿患者,在我院肛肠科成功完成手术治疗。
患者杨某,女性,22岁,因“骶尾部肿痛伴流脓反复发作6年”于2017年12月18日入院。6年前患者无明显诱因出现骶尾部肿胀疼痛,呈持续性,难忍、无流脓、无腹痛腹胀、无畏寒发热、无粘液便及里急后重等症状。曾在广东、上海、贵阳等大型综合性医院及遵义市其他医院就诊并多次进行手术治疗,均反复发作,后就诊于我院肛肠科。
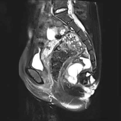
核磁扫描
经专科检查,发现患者肛外有可见陈旧性切口,距离3cm处可见窦道外口,12点可见约7cm愈合疤痕,中段可见破溃外口,骶尾部下方可扪及4cmX2cm条索硬结,3点位可扪及0.5cmX0.5cm包块,轻压痛。
手术中
完善相关辅助检查后,考虑患者前因诊断不明,并已行多次手术,术前在我院帮扶的苏州市中医医院文科副主任的主持下,科内对患者病情进行了详细的讨论,从术前诊断、手术入路、围手术期的处理上进行分析。经充分术前准备,12月22日在江苏省中医院邵万金教授指导下,我院肛肠科团队和帮扶医生文科副主任一起在腰硬联合麻醉下行骶前肿物经左侧骶尾旁入路切除术。术中切除患者尾骨,精细分离囊壁及多次手术囊肿与周围正常组织的粘连,术中注意保护正常盆底肌肉,减少术后对患者盆底功能损伤,完整切除骶前多发囊肿,手术顺利完成。这个手术的成功完成,标志着我院肛肠科在盆底少见肿瘤的手术治疗上,迈出了坚实的一步!
手术后合影

